059-320-3939
診療時間
9:00〜11:30/16:00〜19:00
休診日
水曜日・日曜祝日午後
メニューを開閉する
ホーム
当院について
スタッフ紹介
病院紹介
設備紹介
アクセス
メディア
ニュース
プライバシーポリシー
初めてのご来院にあたって
診療案内
予防と健康管理
避妊・去勢手術
腫瘍
腹腔鏡
循環器専門診療
外科
料金について
動物病院様へ
ペットホテル・トリミング
よくあるご質問
病気紹介
手術紹介
入院・手術について
供血制度とドナー登録のお願い
採用情報
求める人物像
福利厚生
教育制度
先輩からのメッセージ
募集要項・選考ステップ
三重動物医療センターエントリーフォーム
名古屋どうぶつ病院エントリーフォーム
〒510-0943 三重県四日市市西日野町1596
059-320-3939
公式LINE
診療時間
9:00〜11:30/16:00〜19:00
休診日
水曜日・日曜祝日午後
電話
アクセス
症例紹介
公式LINE
Instagram
手術紹介
HOME
手術紹介
手術カテゴリー
腫瘍
眼科疾患
生殖器
消化器
泌尿器
整形疾患
呼吸器疾患
内分泌疾患
肝胆道系疾患
内視鏡
腹腔鏡
放射線
すべての症例
前十字靭帯断裂に対してTPLO手術を行った症例
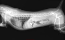
椎間板ヘルニアグレード4に対して片側椎弓切除術を行った1例
橈骨、尺骨骨折に対して骨プレートを用いて整復手術を行った症例
十二指腸に生じた腫瘍に対して外科手術を行った症例
上腕部浸潤性脂肪腫に対して外科手術を行った症例
内視鏡下異物摘出術 胃中のネジを内視鏡で摘出した症例
後腹膜腔から発生した血管肉腫に対して外科手術を行った症例
大腿骨頭壊死症に対して大腿骨骨頭切除を行った症例
鼻腔腺癌に対して、鼻腔内腫瘍吸引術を実施した症例
<
1
2
3